Le protesi dentarie sono dispositivi per il recupero della dentatura che si differenziano in fisse, mobili o in base al materiale impiegato. Consentono un’efficiente mobilità, migliorano la masticazione e prevengono disagi psicologici legati all’aspetto estetico.
Le protesi dentarie fissa sono applicate direttamente e in via definitiva sulla radice naturale o artificiale del dente interessato, per sostituirne la parte visibile. Possono essere parziali o totali, avvitate o cementate.
Protesi impiegata a supporto di un intervento implantare per ripristinare gli elementi mancanti.
Protesi dentarie mobili
Dispositivi rimovibili totali o parziali, impiegati per sostituire l’originale dentatura. Si compongono di una struttura in resina su cui sono fissati i denti, in resina o ceramica. La stabilità è garantita da un corretto appoggio su gengive, ganci o attacchi.
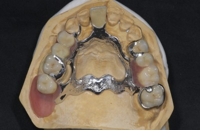
tecnica protesica di congiunzione, utilizzata per ripristinare arcate dentarie danneggiate.
Implantologia dentale
Insieme di tecniche chirurgiche per riabilitare, integrare o ricostruire una corretta dentatura, sostituendo i denti mancanti con radici artificiali ancorate all’osso. Il titanio è il materiale più utilizzato perché riduce le possibilità di rigetto. Gli impianti una volta posizionati, si integrano perfettamente nell’osso grazie al meccanismo fisiologico dell’osteointegrazione. Per questo tipo di intervento è indispensabile eseguire prima un’indagine radiologica accurata con sistemi 3D.
Intervento in cui l’impianto dentale inserito nell’osso funge da radice artificiale.
Ortodonzia
Con questa tecnica si provvede al recupero della corretta dentatura riallineando in posizione adeguata il profilo masticatorio attraverso apparecchi fissi o mobili.
Ciò consente il recupero della funzionalità e del corretto aspetto estetico dell’apparato masticatorio in caso di deformazioni costituzionali o imputabili ad anomalie dello sviluppo.