Telefono: 0587-705226
info@laboratoriosassi.it

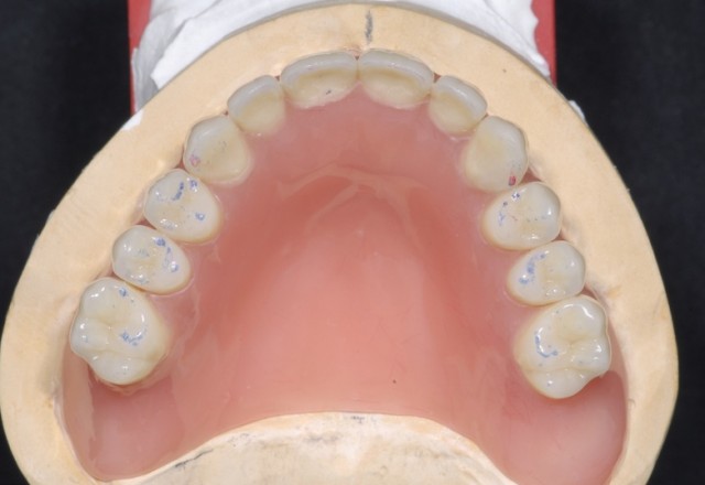
Protesi Totale Rimovibile

Tipologia: Protesi mobile totale

La protesi mobile totale (dentiera) è una soluzione indicata quando mancano tutti i denti di una o entrambe le arcate dentarie.

Questa protesi è composta da denti artificiali in resina o ceramica inseriti in una struttura in resina, cromaticamente simile al naturale colore delle gengive.